Can You Walk With A Stress Fracture In The Foot? : Toe And Forefoot Fractures Orthoinfo Aaos - You can't walk without pain.
Dapatkan link
Facebook
X
Pinterest
Email
Aplikasi Lainnya
Can You Walk With A Stress Fracture In The Foot? : Toe And Forefoot Fractures Orthoinfo Aaos - You can't walk without pain.. The pain tends to come on during exercise and eases off braces: A stress fracture foot problem usually starts off with mild pain and gradually gets worse. Stress fractures are also common in the calcaneus (heel). Athletes often won't know they're injured until the fracture becomes bad enough to affect the area. Then yesterday, out of nowhere, my foot was excruciating.
What causes a stress fracture? Related online courses on physioplus. Track and field athletes and military recruits who carry heavy packs at first, you might barely notice the pain associated with a stress fracture, but it tends to worsen with time. Stress fractures in the foot are very common as we continuously place force on them by walking, running, standing and jumping. A stress fracture is a tiny break in the bone that happens with repeated injury or stress.
Jones Fracture Causes Symptoms And Treatment from cdn-prod.medicalnewstoday.com The previous week i had a few days with a slight soreness in my foot, but it went away after a day off. What are the symptoms of a stress fracture? One way this happens is when you tack on too many miles too quickly. Foot & heel stress fractures. Track and field athletes and military recruits who carry heavy packs at first, you might barely notice the pain associated with a stress fracture, but it tends to worsen with time. But if the force placed. My bone broke all the way. Stress reaction versus stress fracture.
The metatarsal bones are the long bones in your foot that connect your ankle to your toes.
You may be advised to wear a special walking shoe or brace to reduce the force going through the foot. Athletes often won't know they're injured until the fracture becomes bad enough to affect the area. Before i went to the doctor, i shrugged it off as shin splints, and tried icing it down when i finished running. I didn't know it at the time and continued to train through the pain. Related online courses on physioplus. The previous week i had a few days with a slight soreness in my foot, but it went away after a day off. A stress fracture is often described as an overuse injury because it tends to develop with repetitive movements, rather than with a sudden twist. This fracture walking boot is a quality boot at a good price. Stress fractures and stress reactions are very common in athletes. If you walk on a stress fracture that is. The tenderness usually starts at a. Will a foot stress fracture heal if i walk limitedly on it? answered by dr. Stress fractures develop quickly and are not caused by anyone specific injury.
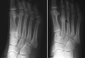
If you think you may have a stress fracture in your foot or ankle, the most important thing to do is to immediately stop all activities that cause pain. The pain tends to come on during exercise and eases off braces: This fracture walking boot is a quality boot at a good price. In the foot, the navicular stress fracture is the most common but they can occur in a number of bones in the foot and heel. Stress fractures occur most often in the second and third metatarsals in the foot, which are thinner (and often longer) than the adjacent first metatarsal.
Stress Fractures from www.rchsd.org Stress fractures of the metatarsal bones (march fractures) usually occur in runners who too quickly change the intensity or length of workouts and in poorly conditioned people who walk long distances carrying a load (for example, newly recruited soldiers). Before i went to the doctor, i shrugged it off as shin splints, and tried icing it down when i finished running. One way this happens is when you tack on too many miles too quickly. The solid bones and the pliable ligaments flex the foot to disperse the forces generated with walking, running, and jumping. A stress fracture foot problem usually starts off with mild pain and gradually gets worse. In severe cases, you may need a. Stress injuries can be found in the shin bone, foot, heel, hip and lower back. In this the bone breaks but generally does not shift the position.
Athletes often won't know they're injured until the fracture becomes bad enough to affect the area.
In severe cases, you may need a. What are the symptoms of a stress fracture? A stress fracture is a tiny break in the bone that happens with repeated injury or stress. If you think you may have a stress fracture in your foot or ankle, the most important thing to do is to immediately stop all activities that cause pain. If you walk on a stress fracture that is. However, just because you have a stress fracture doesn't mean you can't still exercise. The only way to determine if a fracture has healed is to not healing across the fracture site with an xray. Stress fractures most commonly happen in the bones in the foot or the ankle. Will a foot stress fracture heal if i walk limitedly on it? answered by dr. Stress fractures are caused by repetitive impacts sustained over time, combined with fatigued muscles that become unable if you try to walk on the foot or ignore the symptoms, you could break your foot completely. The pain tends to come on during exercise and eases off braces: It is wise to avoid nsaids like ibuprophen. The metatarsal bones are the long bones in your foot that connect your ankle to your toes.
How are stress fractures in the shin treated? Follow your doctor's advice about when you can safely start. Stress fractures tend to occur in runners' pelvic areas, legs or feet. They are most common in the feet and depending on their severity, some stress fractures take longer to heal than others. Stress reaction versus stress fracture.
Stress Fractures Of The Foot And Ankle Orthoinfo Aaos from orthoinfo.aaos.org In the foot, the navicular stress fracture is the most common but they can occur in a number of bones in the foot and heel. Instead, apply an ice pack and elevate your foot. Stress reaction versus stress fracture. Related online courses on physioplus. The tenderness usually starts at a. But if the force placed. They help you balance when you stand and walk, and help support the. Still hurts terribly today, when bearing weight.
Pain is persistent or worsening.
Track and field athletes and military recruits who carry heavy packs at first, you might barely notice the pain associated with a stress fracture, but it tends to worsen with time. Instead, apply an ice pack and elevate your foot. Still hurts terribly today, when bearing weight. Stress fractures of the metatarsal bones (march fractures) usually occur in runners who too quickly change the intensity or length of workouts and in poorly conditioned people who walk long distances carrying a load (for example, newly recruited soldiers). This fracture walking boot is a quality boot at a good price. I ended up having a stress fracture in my shin from cross country. In severe cases, you may need a. What are the symptoms of a stress fracture? The only reason i don't think its a stress fracture is it doesn't hurt to push on it. This is the area of greatest impact on your foot as you push off when you walk or run. Stress fractures are also common in the calcaneus (heel). A stress fracture is a tiny break in the bone that happens with repeated injury or stress. Bone, like most tissue in the body usually, it will hurt to press on it, and the pain will get progressively worse as you run on it, eventually hurting while walking or even when you're not.
Natural Remedies For Eyelid Dermatitis / How I Got Rid Of My Eye Eczema Lux Life London / Learn the signs & symptoms of atopic dermatitis. . It also looks at the symptoms and causes of the condition. Many people have had success with a variety of natural remedies but everybody's skin reacts differently and there. Patient should recollect of substances that may have come in. As well as discontinuing the use of steroid creams and certain cosmetic products, there are natural treatment options that you might find helpful. Eyelid dermatitis is a common condition. Individuals with allergic contact dermatitis (see the image below) may have persistent or relapsing dermatitis, particularly if the material(s) to which they are allergic is not identified or if they practice inappropriate skin care. The treatment for dermatitis varies, depending on the cause and your symptoms. Natural treatments for perioral dermatitis. Atopic dermatitis with eyelid involvement. Learn ab...
Alcohol Free Witch Hazel Bulk / Witch Hazel Alcohol Free And 14 Alcohol In Stock / No added parabens, phthalates, sulfates, or artificial fragrances or dyes. . Here's 18 reasons you need a bottle in your home. Dickinson's brand is made with grain alcohol. Witch hazel water is a clear, colourless distillate prepared from recently cut and partially dried dormant twigs of hamamelis virginia. Witch hazel extract is a wonderful ingredient for use in cosmetic formulas. Witch hazel is used as an alternative, more mild approach to alcohal. Witch hazel grows in many places throughout the us, and is easily harvested for a homemade as a topical astringent, witch hazel can be applied directly to burns, bruises, insect bites, and aching but the walmart brand had isproyl alcohol whereas the t.n. Not only is this toner comes in a big bottle it's so affordable too! Love this as it does not live a film or greasy residue of any kind, while also effectively having an. 169...
Best Emollient For Discoid Eczema : how is eczema caused how to get rid of discoid eczema ... - The best emollient is the one you like, because then you will. . A good emollient regime can soothe, moisturise and protect the skin, helping to eczema is a very individual condition and different emollients tend to suit different people. These topical skin treatments come in several different. Free shipping on orders of $35+ and save 5% every day with your target redcard. Individual plaques are well apply emollients frequently emollients include bath oils, soap substitutes and moisturising creams. It involves frequent and liberal. Peters discoid eczema responded well to a potent steroid ointment applied once daily for 10 days, and he then returned to regular emollients. Do emollients and moisturisers help control eczema? But identifying your type of eczema can take a little research. See actions taken by the people who manage and post content. The type of emollient that i...
Komentar
Posting Komentar